목차
심근염 및 심낭염 증상에 대해 알아보겠습니다. 요즘 들어 심장 근육에 염증이 생기는 증상인 심근염과 심낭염에 대한 걱정이 많아지고 있습니다. 코로나19 백신 예방접종의 부작용 중 하나로 알려지면서 흉통이 느껴지거나 심장 관련 이상 증상이 느껴지면 겁이 나는 게 사실입니다. 오늘 잘 알아보시고 걱정을 더는 계기가 되었으면 합니다.



심근염 및 심낭염 증상 알아보기
심장은 생명과 직결된 기관이며 우리 몸에서 제일 중요하게 여겨집니다. 가장 중요한 사람이나 장소를 지칭할 때 '~의 심장'이라고 부르는 이유도 이 때문입니다. 심장은 온몸으로 피를 전달하고 다시 회수하는 역할을 담당하고 있는데 끊임없이 펌프질을 하는 심장의 근육이나 심장을 둘러싸고 있는 막에 염증이 생기면 이상 증상을 느끼게 됩니다.
■ 심근염 (心筋炎, myocarditis)
심근염은 다양한 원인에 의해 심장 근육에 급성 또는 만성으로 염증 세포가 침투한 상태를 말합니다. 미국 의학계 보고에 의하면 심근염 진단을 받는 평균 나이는 40대 초반이며, 급사 사례 중 약 1.3%는 심근염과 관련이 있다고 합니다.
1. 심근염 원인
심근염의 원인은 다양합니다. 감염성, 독성, 면역성에 의해 일어나는 경우가 대부분인데 그중 바이러스에 의한 감염성 신금염이 가장 흔한 것으로 알려져 있습니다.



① 바이러스에 의한 감염
- 아데노 바이러스
- 파보 바이러스
- 헤르페스 바이러스
- 장 바이러스
- 인플루엔자 바이러스
- 에코 바이러스
- 간염 바이러스
- 거대세포 바이러스
- 에이즈 바이러스
② 세균에 의한 감염
- 디프테리아
- 거의 모든 세균
③ 독성 원인
- 의학적으로 사용되는 약제
- 주변 환경에서 사용하는 물질들
- 방사선 치료
④ 면역성 원인
2. 심근염 증상
심근염 증상은 열, 오한, 근육통, 피로, 구토 등과 같은 감기 증상으로 처음 나타납니다. 흉통은 약 35%의 환자에게 나타나는데 찌르는 듯한 날카로운 느낌이나 쥐어짜는 듯한 통증으로 올 수 있습니다. 흉통은 급성 심근경색 증상과 비슷해서 일반인들은 구분하기 어렵습니다.
흉통이 없는 사람들은 관절통 및 기운 없음 등의 증상을 호소하기도 합니다. 어린이에게는 열, 호흡곤란, 식은땀, 청색증 등이 발생할 수도 있습니다.



심근염 증상이 의심되면 심전도 검사를 통해 동성빈맥(洞性頻脈),이 있는지 확인하며, 혈액 검사에서는 심근 효소(트로포닌) 수치의 상승 여부, 염증 수치의 상승 정도 및 백혈구 수치를 확인합니다. 트로포닌 수치가 높을 경우 심장 초음파나 MRI 검사로 염증을 확인해 진단합니다.
3. 심근염 치료
심근염 증상이 있는 경우 심근염 자체에 대한 치료법은 아직까지 없습니다. 감소된 심장 기능을 지탱하기 위해 약물이나 기구를 이용한 부정맥에 대한 처치를 주로 하며, 심부전의 합병증을 막는 치료와 통증 조절 치료도 병행됩니다.
심근염 치료 기간 동안 특별히 삼가거나 적극 섭취해야 하는 음식은 없으므로 식이요법을 할 필요 없이 균형 잡힌 식생활을 하면 됩니다. 심근염은 신체 활동이 증가할수록 염증 반응이 커지기 때문에 활동을 다소 제한하는 것이 좋다고 합니다. 심근염에 걸려도 대부분의 경우 완전히 회복되며, 드물게 재발이 되는 경우도 있습니다. 그러나 급성 심근염이 회복되지 않고 심부전으로 이어져 생명이 위험한 경우도 간혹 발생합니다.
심근염은 대부분 감염에 의해 발생하기 때문에 손 씻기 등 기본적인 개인위생 규칙을 잘 지키면 어느 정도 예방이 됩니다. 백신이나 약물을 처방받은 후 심근염 증상과 비슷한 통증을 느끼게 된다면 빨리 병원을 방문해서 조치를 받는 것이 중요하다고 볼 수 있습니다.



■ 심낭염 (心膜炎, pericarditis)
심낭염은 심장을 감싸고 있는 심막(심장막, 심낭)에 염증이 생기는 경우를 말하며, 심장막염이라고도 합니다. 섬유심장막, 장막심장막으로 구성되어 있는 심낭은 심장을 고정시키고 보호하는데, 그 사이에 물처럼 투명한 심낭액이 약 50cc 정도 들어가 있어서 심장 박동 시 마찰을 감소시키는 윤활액 역할을 합니다. 심낭에 물이 많이 차게 되면 심장이 눌리게 되므로 숨이 차고 다리가 부을 수 있습니다.
1. 심낭염 원인
알려진 심낭염의 원인은 아래와 같습니다. 특별한 원인을 찾을 수 없는 경우는 특발성 심낭염이라고 합니다.
① 감염
- 바이러스
- 박테리아
- 진균
- 결핵
② 심근경색, 심부전
③ 암(폐, 유방, 임파선암)
④ 흉부 방사능 치료, 외상, 약물
⑤ 결합조직질환(류머티즘 관절염)
2. 심낭염 증상
심낭염 증상 중 가장 흔한 것은 가슴통증, 흉통(胸痛)입니다. 숨을 들이마시거나 몸을 뒤로 젖힐 때 통증이 심해지는 등 호흡과 자세에 따라 날카로운 통증이 나타났다 사라지는 특징이 있으며, 기침에 의해 악화되는 경향이 있습니다. 그 외에도 발열 및 전신 쇠약감, 호흡곤란 등이 나타나기도 합니다.



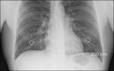
심낭염이 의심되는 경우에는 흉부 x-ray 촬영, 심전도 검사와 혈액 검사를 진행합니다. 흉부 x-ray와 심전도 검사는 일반 병원이나 의원에서도 비교적 쉽게 받을 수 있습니다. 심낭염인 경우 흉부를 촬영했을 때 심장이 커진 모양을 확인할 수 있으며, 심전도에서 심낭염의 특징적인 소견을 체크할 수 있습니다. 심장 초음파는 대형 병원에서 검사를 받아야 하므로 응급인 경우 심낭의 삼출을 찾는 데 사용됩니다.
3. 심낭염 치료
심낭염 증상이 있는 경우 병원에 1~2일 정도 입원해서 심장마비 가능성이 있는지 검사하고 감염 상태와 원인을 파악해 치료법을 달리한다고 합니다. 심낭염은 약물치료가 효과적이어서 세균성 심막염은 항생제를 투여하고, 심장 수술 이후 생긴 심낭염은 항염증 약물을 투여합니다.
심낭염 환자에게 스테로이드제는 증상을 만성화시킬 수 있어서 비스테로이드성 약물을 처방한다고 합니다. 심낭염을 예방하는 특별한 예방법은 없으며, 증상에 맞게 처방과 치료를 받으면 대부분 자연적으로 호전된다고 합니다.



심근염 및 심낭염 증상에 대해 알아보았습니다. 심근염과 심낭염은 일반적으로 매년 10만 명 중 10명 정도 발생한다고 합니다. 코로나19 백신인 화이자와 모더나 등 mRNA 백신의 부작용으로 드물게 심근염과 심낭염이 나타나는 경우가 있으니 위의 증상들을 기억하고 몸에 이상신호가 있는 경우 꼭 119를 부르거나 병원 응급실로 가시기 바랍니다.
부스터 샷 예약 및 접종 (feat. 얀센 백신)
부스터 샷 예약 및 접종 그리고 얀센 백신 부스터 샷에 대해 알아보겠습니다. 오늘 막내 이모 핸드폰으로 부스터 샷 관련해서 문자가 와서 예약을 도와드렸습니다. 몇 년 전에 갑상선 질환으로
gem.drstone.co.kr
코로나 백신 접종 완료 증명 방법
코로나 백신 접종 완료한 분들이 2차 접종 완료 증명을 위한 방법 3가지에 대해 알아보겠습니다. 이제 위드 코로나 시대를 앞두고 있어서 백신 인센티브 활용을 하거나 식당 등을 방문할 때 인원
gem.drstone.co.kr
코로나 초기증상 및 증상순서
코로나 초기증상 및 증상순서 관하여 알아보겠습니다. 코로나 델타변이 바이러스로 인해 연일 최다 확진자수를 갱신하고 있는 상황이어서 기침 한 번을 해도 걱정이 되는 요즘입니다. 감기와
gem.drstone.co.kr
QR코드 전자출입명부 만드는 방법
QR코드 전자출입명부 만드는 방법 정리해 보겠습니다. 네이버, 카카오톡, PASS에서 간단하게 QR코드 전자출입명부 만드는 방법을 알려드리려고 합니다. QR코드를 활용한 QR체크인은 작년부터 음식
gem.drstone.co.kr
댓글