목차
어깨 통증 원인과 치료 방법에 대해 알아보겠습니다. 팔을 들어 올리기 어렵거나 통증이 생겨 일상생활에 불편을 겪게 되는 어깨 통증은 50대 이상에게 많이 발생한다고 해서 오십견이라는 이름으로 불리기도 하지만 요즘은 젊은 층에서도 어깨 통증 환자가 증가하고 있습니다.



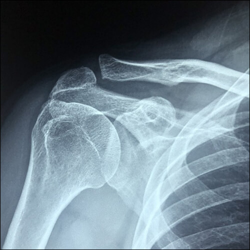
어깨 통증 원인과 치료
저는 20대부터 컴퓨터 관련 업무를 계속하면서 손목과 목이 불편한 적이 많았습니다. 아무래도 컴퓨터를 이용하다 보면 자세가 구부정해지기 때문입니다. 그런데 3년 전에 갑자기 오른팔을 올릴 때 통증이 발생했습니다. 점점 통증이 심해져서 잠을 자기가 어려워지고, 머리를 감는 일도 쉽지 않을 정도가 되어 병원에 방문했습니다.
알고 보니 평상시 취했던 구부정한 자세 때문에 어깨와 등을 지지하는 견갑골이 몸의 앞쪽으로 쏠리게 되어 회전근개 부위가 눌려 염증이 발생했던 것이었습니다. 약 1년간 어깨 통증으로 고생하면서 오른팔을 위로 올리는 것조차 힘들었는데 꾸준한 치료와 운동으로 인해 지금은 거의 정상입니다. 그래도 스트레칭을 해보면 확실히 왼팔에 비해 오른팔의 유연성이 부족합니다.
저와 같은 증상으로 어깨 통증이 생기는 경우도 있지만 어깨 통증 원인은 여러 가지가 있습니다. 개인이 정확히 파악하기는 어려우므로 가급적이면 병원에 방문해서 정확한 검사를 통해 어떤 원인인지 파악하고 그에 따라 제대로 치료받는 것이 중요한 것 같습니다.



1. 오십견(동결견)
가장 많이 알려져있는 어깨 통증 원인은 오십견입니다. 어깨가 아프면 대부분의 경우가 오십견이라고 할 수 있습니다. 예전에는 노화로 인해 관절이 약해졌을 때 발생하는 일이 많았지만, 컴퓨터와 핸드폰 사용이 많아진 요즘에는 나이와 상관없이 발생하고 있는 추세라고 합니다. 그래서 오십견이라는 이름 대신 동결견(Frozen Shoulder)이라고 불리기도 합니다.
오십견은 어깨가 얼어붙은 증상이라고 할 수 있습니다. 어깨의 관절을 감싸고 있는 관절낭이 두꺼워져 어깨 관절과 달라붙게 되면 통증이 발생하게 됩니다. 그래서 통증을 피하기 위해 어깨를 적게 사용하려다 보니 회전근육이 수축하게 되어 굳어지면서 사용 가능한 범위가 줄어들게 됩니다.
저도 비슷한 단계로 발전했던 것 같습니다. 통증이 심하게 생기기 전에 어깨가 뻐근하고 불편한 느낌이 있어서 스트레칭이나 어깨 동작을 많이 하지 않았습니다. 그 상태가 되었을 때 뻣뻣함을 풀어주고 꾸준히 스트레칭을 했으면 증상이 심해지지 않았을 텐데, 과로라고 생각하고 넘겼던 게 잘못이었습니다. 어깨 쪽에 있던 통증이 팔을 타고 내려와 손까지 저릿한 느낌이 들어 병원에 갔다가 오십견이라고 진단을 받았습니다.



저는 물리치료와 약물치료를 같이 받았습니다. 비스테로이드성 항염증 성분을 처방받았고 집에서는 오십견에 좋은 스트레칭 운동법을 하루에 5회씩 반복했습니다.
불편하다고 어깨를 잘 움직이지 않는 것도 어깨 통증 원인이 될 수 있으니 평상시에 어깨 운동과 스트레칭을 꾸준히 해주면 좋을 것 같습니다. 오십견, 또는 동결견은 적절한 치료와 운동을 동반하면 증상을 완화시킬 수 있습니다.
회전근개 파열이 되지 않은 경우에는 스트레칭을 하면 좋은데, 통증이 너무 심한 경우에는 절대 무리하지 말고 병원에서 약물이나 주사 등으로 염증 치료를 받아 증상이 완화된 후에 하는 것이 안전합니다.
저는 수건을 이용해서 천천히 아픈 팔을 등 뒤로 올리는 스트레칭을 주로 했습니다. 누워서 아픈 팔꿈치를 가슴 옆구리에 붙이고 아픈 팔을 바깥쪽으로 회전시키는 운동과 막대를 이용한 회전운동도 도움이 되었습니다. 국민체조에서 팔운동 부분만 천천히 하는 것도 효과가 좋습니다. 엎드려서 팔을 조금씩 뻗는 동작도 저강도에서 시작하면 좋습니다.



2. 회전근개 파열
어깨 통증 원인 두 번째는 회전근개 파열입니다. 회전근개 파열은 어깨를 감싸고 있는 어깨 힘줄인 회전근의 일부가 찢어지면서 생깁니다. 회전근은 총 4개의 힘줄로 구성되어 있는데 가장 위에 있는 근육이 잘 손상된다고 합니다. 평상시보다 무리해서 운동하거나 준비운동에 소홀한 경우 발생할 수 있다고 합니다.
평상시에 테니스, 야구, 배드민턴 등 운동을 자주 하는 분이라면 어깨 통증 원인으로 회전근개 파열을 의심해 보는 것이 좋습니다. 회전근개 파열은 오십견과 달리 자연 치유가 되지 않기 때문에 방치하면 수술 치료까지 받아야 할 수 있습니다. 꼭 병원에 방문해서 적절한 치료를 받으셔야 어깨 건강을 지킬 수 있습니다.
회전근개 파열을 예방하기 위해서는 운동하기 전에 어깨 스트레칭을 꼼꼼하게 해서 어깨 근육을 이완시키고 무리하지 않는 범위 안에서 운동하는 것이 좋습니다. 40~50대 이상의 중장년층은 건강을 과신하지 말고 조심하시기 바랍니다.
회전근개 파열로 치료를 받는 분들은 의사의 진단 및 처방에 따라 스트레칭 등 운동 요법을 진행해야 합니다. 오십견처럼 팔꿈치를 고정한 상태에서 어깨 바깥으로 회전하는 스트레칭을 하는 것이 안전합니다. 회전근개 파열로 치료를 받으신 분들은 운동 후에 부상을 예방하기 위해 15분 정도 얼음찜질을 하는 것이 좋습니다.



3. 석회건염
세 번째 어깨 통증 원인은 석회건염입니다. 석회 건염은 어깨를 구성하고 있는 회전근개 힘줄과 인대 부위에 칼슘 덩어리가 쌓여 돌처럼 딱딱하게 석회로 굳어 통증을 유발하는 질환입니다. 석회는 관절 부위 어디에서나 발생할 수 있지만 어깨 관절 주변에서 자주 발생하며 주요 어깨 질환 중 하나로 분류되고 있습니다.
석회 건염은 다른 원인 질환에 비해 통증이 극심한 것이 특징입니다. 어깨를 움직이지 않아도 통증이 발생하고 특히 낮보다 밤에 더 심하다고 합니다. 때로는 잠을 자기 힘든 고통을 안고 응급실을 찾는 경우도 있다고 하니 본인이 겪고 있는 어깨 통증이 위와 같은 경우와 같다면 석회건염을 의심해 보시기 바랍니다.
석회건염은 회전근의 노화로 인한 퇴형성 질환이라고 할 수 있습니다. 석회가 생겨서 힘줄 내부를 팽창시켜 통증을 유발하게 되므로 되도록 빠른 시간 내에 병원에 방문해서 치료를 받는 것이 좋습니다. X-레이나 초음파로 바로 확인할 수 있으며 주사요법, 체외 충격파 치료 등으로 치료합니다.
석회건염이 있는 경우 어깨 통증을 경감하기 위해 시계추 운동을 한다고 하는데, 이 동작은 오십견이 있는 분들도 하면 좋습니다. 저도 통증이 심했던 초기에 하루 3회씩 꼬박꼬박 했습니다.



시계추 운동(Pendulum Exercises for Shouder)
- 책상이나 테이블을 측면에 놓고 상체를 앞으로 90도 정도 숙이고 통증이 없는 팔로 비치한 책상 또는 테이블을 잡고 상체를 지탱해 줍니다.
- 아픈 어깨를 좌, 우, 위, 아래 방향으로 천천히 갈 수 있는 거리만큼 이동시킵니다.
- 각 방향을 5회씩 실시한 후 이번에는 시계방향, 반시계 방향으로 어깨를 회전시킵니다.
- 5회씩 반복하고 천천히 상체를 일으켜 줍니다.
4. 어깨 충돌 증후군
마지막 어깨 통증 원인은 어깨 충돌 증후군입니다. 어깨를 감싸고 있는 뼈인 견봉과 팔뼈인 대결절부 사이의 공간이 좁아지면서 뼈와 힘줄 사이에 마찰이 발생하는 질환입니다. 이 경우 어깨를 움직일 때마다 견봉과 회전근개 근육이 부딪치며 손상되어 염증이 생기게 됩니다.
노화로 인해 근력이 약해지고 무리한 어깨 사용으로 인해 생길 수도 있지만, 컴퓨터를 많이 사용하는 현대인들의 경우 신체의 발란스가 무너져 어깨 충돌 증후군이 생길 수 있습니다.
자연적으로 치료가 되지 않으므로 그대로 방치하면 더 심한 상태가 될 수 있으니 꼭 병원에 방문해서 검사받으셔야 합니다. 오십견 증상뿐만 아니라 회전근개 파열까지 발생할 수 있습니다.
어깨 충돌 증후군을 완화시키는 근본적인 방법은 신체 발란스를 다시 맞추는 운동과 스트레칭이라고 할 수 있습니다.



어깨 통증 원인과 통증을 완화하는 데 도움이 되는 치료, 운동 등에 대해 간단히 알아보았습니다. 가장 중요한 것이 혼자서 진단 내리지 말고 병원에 방문해 정확한 어깨 통증 원인을 확인하는 것입니다. 그에 따라 치료법, 스트레칭 운동이나 근력 운동 방향이 달라질 수 있습니다.
블로그 추천글
모르는 전화번호 검색 방법
모르는 전화번호 검색 방법
모르는 전화번호 검색 방법을 알아보겠습니다. 저는 오늘 아침에 핸드폰을 확인하다가 교통위반 과속 과태료 고지서가 발송되었다는 문자를 받았습니다. 그런데 일반 핸드폰 번호로 온 문자여
gem.drstone.co.kr
오메가 3 효능 정리
오메가 3 효능 정리
오메가 3 효능을 알아보고 오메가 3 함유 식품으로는 어떤 것이 있는지 소개해 보도록 하겠습니다. 오메가 3을 섭취해야 하는 가장 중요한 이유는 우리 몸에서 스스로 만들어 낼 수 없기 때문입
gem.drstone.co.kr
콤부차 효능
콤부차 효능
콤부차 효능에 대해 정리해 보겠습니다. 콤부차는 설탕을 넣은 녹차나 홍차에 유익한 박테리아를 넣어 발효시킨 것으로 면역력을 강화하고 노화를 방지하는 항산화 작용을 하는 것으로 알려져
gem.drstone.co.kr
홍삼 효능과 부작용
홍삼 효능과 부작용
홍삼 효능과 부작용에 대해 알아보겠습니다. 수삼을 증기로 쪄서 건조와 숙성을 거친 홍삼은 면역력에 좋은 음식일 뿐만 아니라 갱년기 관리 및 노화를 예방하는 효과가 커서 어린이부터 노년
gem.drstone.co.kr
산수유 효능 알아보기
산수유 효능 알아보기
산수유 효능에 대해 알아보겠습니다. 산수유는 예로부터 따뜻한 겨울을 나기 위해 즐겨 먹던 음식으로 어린아이부터 노년층까지 모두 먹을 수 있는 좋은 건강식품입니다. 동의보감에서는 산수
gem.drstone.co.kr
댓글